Dental Implants in Orlando, FL
We offer same-day dental implants designed to transform your smile. You don’t need to coordinate treatment with multiple providers; Dr. Michael Koyfman and Dr. Nathan Jones handle everything at one office to save you time and money.
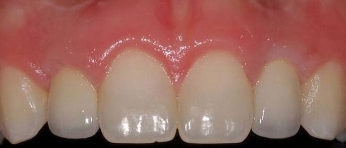
Discover what an implant-supported crown, bridge, or denture can do for you.
Dr. Koyfman Recommends Dental Implants for Patients With Broken, Missing, or Hopeless Teeth
You'll be working with a dentist who places anywhere from 600 to 800 implants a year: Dr. Michael Koyfman. He is a member of the International Congress of Oral Implantologists, and he has earned a fellowship in Implantology from the organization as well.
What Do I Need to Know About Dental Implants?

Their Purpose
After losing a tooth or all your natural teeth, you may opt for our mini or standard implants. Dental implants are titanium posts secured in your jawbone and gums to replace your missing tooth roots. We pair them with abutments and restorations for a complete smile.
Their Options
We can secure a variety of dental restorations to your implants, such as crowns, bridges, and dentures. Depending on your case, we may also be able to extract a tooth, place a dental implant, and attach a temporary crown all on the same day.
Their Benefits
Compared to traditional restorations, dental implants offer unmatched stability because they're secured in place. They also protect your jawbone tissue from deteriorating, which traditional restorations cannot do.
Qualifying For Implants
/
To be eligible for implants, you'll need healthy gums and sufficient bone tissue. You'll also have to be in good general health. Even if you're not a candidate, you've come to the right Orlando, FL, dental practice. We offer several supplementary dentistry procedures, like periodontics, extractions, and bone grafting. Our dentists can also use the All-on-4® technique, which makes qualifying for implant dentures easier.
"Caring and professional with a smile."
The staff at Koyfman Dental was very kind and professional. They made me feel safe and also made me feel that they cared about my wellbeing. I would highly recommend Koyfman Dental to anyone who is looking for a Dental Clinic. I will definitely be going back.
View on GoogleExam, cleaning and my very first filling went fantastic today. I previously had an inplant installed here and it is still secure and looks great. Everyone is caring and professional, with a smile. I've been so happy, my daughter, son and parents also go to Koyfman Dental:-)
View on GoogleHow Much Should I Expect to Pay? About $2,799 for an Implant, Abutment, and Crown
Dental implants begin at around $2,799 at our practice in Orlando. Because we can handle all stages of your implant treatment, you will only need to pay one provider — which can potentially save you time and money.
This number includes your all-titanium implant, your abutment, and your crown. For other restorations, such as dentures, and for those needing supplementary treatments like bone grafting or extractions, the price will vary.
We Know Cost Can Be Stressful. Here's How We Make It Easier
Koyfman Dental accepts standard payment options, like cash and credit cards. We also put your needs first by making dental implant costs more manageable with:
In-House Financing
Pay off the costs of your implants over time with our in-house financing. One of the biggest benefits of this option is the fact that we don't require a credit check. That way, implants are more accessible for all of our Orlando, FL, patients.
Outside Financing
For additional options, we also accept financing from several reputable lenders, such as CareCredit®, Proceed Finance, and Lending Club.
Prepayment Discounts
In select cases, we may be able to offer prepayment discounts. You can explore your eligibility during a transparent consultation with our dentists.


